2012年6月13日
ミラクルデンチャーセットしました
本日ミラクルデンチャーを患者さんにセットしました
開業時から来院されている大切な患者さんです

入れ歯が合わずに外した状態のままで過ごされていたので上下前歯とも前に出た状態になっています


まず臼歯部の不適合補綴物、および前歯部の前装冠の除去を行い、臼歯部の咬合平面を整えた上で前突していた前歯部をなるべく内側に入れました(保険診療)
また虫歯の治療をしっかりした後にミラクルデンチャーの型取りを行いました(自費診療)
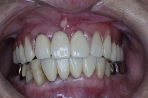
治療後の写真になります



どこに入れ歯が入っているのかわからないくらいです

ここまでの道のりは平坦ではありませんでした
患者さんに苦労を強いることも多く不満をぶつけられたこともあります
しかし私を信頼して下さりここまでたどり着くことができました
本当にありがとうございました
そしてこれからもよろしくお願いいたします

お問い合わせ
ご質問やご相談・ご予約につきましては、お電話やお問い合わせフォーム、LINEからお気軽にお問い合わせください。




