上顎ハイブリッドセラミックスブリッジ症例(フルマウス)
| 年代 | 30代 |
|---|---|
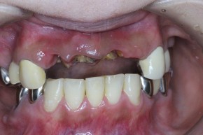
| 治療内容 | 前歯をいれたいとのことで来院。前歯は抜歯も考えましたが年齢のことも考慮し、今回は残しました。来院したときはマスクをされていました。その日のうちに仮歯をいれました。上顎フルブリッジになるため臼歯部から前歯部まで仮歯に置き換え咬合を安定させました。その段階で歯の色、形を患者さんとよく相談し決定しました。いろいろ御苦労かけましたがきれいな歯が入りました。歯を装着した後、鏡で見ていただいたのですが涙を流されて喜んでくださいました。わたしも大変うれしかったです。 |
| 患者様の声 | ここまできれいな歯を入れてくださり本当に感謝しています。自分の歯を見たときは感動しました。これからはもっと自分の歯を大切にしていきます。 |
施術前
施術後
ご予約・お問い合わせ
「自分の症状は治るのかな?」とご不安な方は、お電話やLINE・お問い合わせフォームからお気軽にご相談ください。




