審美歯科
| 年代 | 30代 |
|---|---|
| 治療内容 | 左上7の不適合メタルクラウンを新製。 元々入っていたメタルコアをファイバーコアに作り直し、形成印象したのちエステニアクラウンをセット |
| 患者様の声 | 今まで違和感があったかみ合わせがすっきりし、見た目も自分の歯のようで大変満足しています。もっと早く治療しておくべきでした。 |
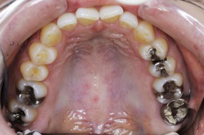
左上7の金属のかぶせ物の不適合が見受けられました
金属の一部が欠けておりこのままですとここから虫歯になってしまいます
ファイバーコアをセットしました
エステニアクラウンをセットしました
エステニアクラウンをセットしました
エステニアは変色が起こりにくく、強度があるのであまり磨り減らないため、ブリッジや詰め物なのにも利用でき、奥歯に最適です。 強度があるためにオールセラミッククラウンなどは他の歯を傷つけることがありますが、エステニアは本物の歯に近い材料なので、そのようなこともありませんので安心して使用することができます。 費用 ファイバーコア 10,500円(税込) エステニアクラウン 52,500円(税込)
ご予約・お問い合わせ
「自分の症状は治るのかな?」とご不安な方は、お電話やLINE・お問い合わせフォームからお気軽にご相談ください。




