下顎ミラクルデンチャー症例
| 年代 | 50代 |
|---|---|
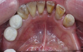
| 治療内容 | 下顎臼歯部にミラクルデンチャーを装着しました。 保険の義歯はすぐに嫌になって使わなくなったそうですが、ピタッと入って気持ちいいとのことでした。 インプラントもいいのですが費用や施術の負担を考えるとミラクルデンチャーもいい選択だと思います。 |
| 患者様の声 | 保険の義歯は合わなくてすぐに使わなくなりました。 ミラクルデンチャーをカチッと入って付け心地がいいです。 これなら大丈夫だと思います。 |
施術前
施術後
ご予約・お問い合わせ
「自分の症状は治るのかな?」とご不安な方は、お電話やLINE・お問い合わせフォームからお気軽にご相談ください。




